Ξεκινήστε τον προληπτικό έλεγχο του καρκίνου του παχέος εντέρου σε ηλικία 45 ετών
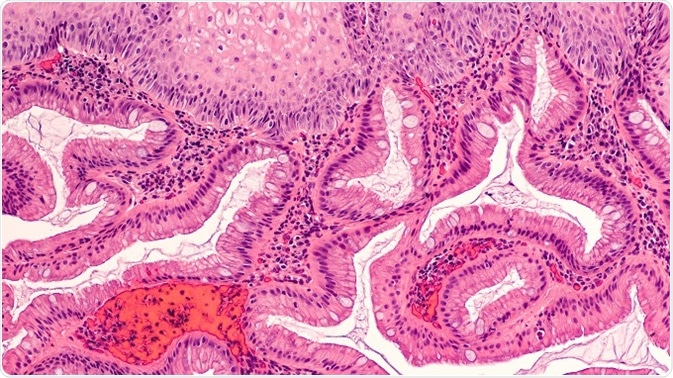
Η ανίχνευση των πολύποδων και των αδενωμάτων του παχέος εντερου διπλασιάζεται όταν ο έλεγχος με κολονοσκόπηση αρχίζει στην ηλικία των 45 ετών αντί της ηλικίας των 50 ετών, ανεξάρτητα από το αν οι άνθρωποι έχουν προσωπικό ή οικογενειακό ιστορικό πολυπόδων ή καρκίνου, προκύπτει από νέα μελέτη. “Η πρόληψη και η επιλογή για κολονοσκόπηση στον γενικό…
Details









